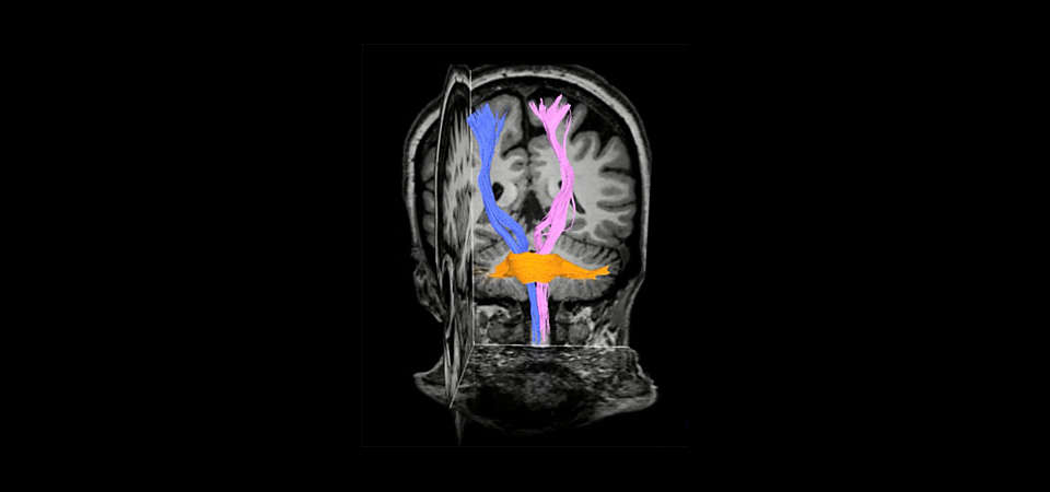
The 32-channel dStream Head coil leverages dStream technology and pushes your 3.0T system to new frontiers in neurofunctional exams. lt is designed to provide high resolution volumetric imaging of the cortex, while maintaining an excellent signal-to-noise ratio (SNR) in the center of the brain. The coil supports detailed morphological and functional assessment of the brain, for instance, during pre-surgical planning. Fast scanning times are also possible through dS SENSE parallel imaging in all three measurement directions.
Add a review